
It can hinder your ability to eat, speak, and enjoy everyday activities. Missing teeth, especially those visible in your smile, can take a toll on your confidence, while gaps elsewhere in your mouth may lead to issues with chewing and proper speech.
At Fisher & Zitterich Dentistry in Rockwall, TX, we specialize in multi-tooth replacement solutions that restore both function and aesthetics, allowing you to live your life to the fullest once again.
When multiple teeth are missing, the issues that arise are often more pronounced than with a single missing tooth. Gaps in your smile can significantly impact your self-esteem, making you hesitant to show your smile in social situations. Beyond the cosmetic concerns, missing teeth can lead to practical problems, such as difficulty eating certain foods and changes in the way you speak.
Over time, missing teeth can also cause your jawbone to deteriorate, leading to further oral health complications, including shifting teeth, an altered facial structure, and an increased risk of additional tooth loss. Addressing these gaps promptly with multi-tooth replacement can prevent these issues and improve your overall quality of life.

Dental implants offer a versatile, durable, and long-lasting solution for replacing multiple missing teeth. Implants are titanium posts surgically placed into the jawbone, where they act as artificial tooth roots. Once the implants are in place and fully integrated with the bone, they can support various restoration options, including:

Replacing multiple teeth with dental implants offers numerous advantages over traditional solutions like partials or bridges that rely on natural teeth for support:
At Fisher & Zitterich Dentistry, we prioritize your comfort and satisfaction throughout the multi-tooth replacement process. Here’s how it works:
At Fisher & Zitterich Dentistry in Rockwall, TX, we combine expertise, technology, and compassionate care to deliver exceptional results. Here’s why patients trust us for their dental implant needs:

While not all cases of oral cancer can be prevented, there are steps you can take to reduce your risk:
By combining these habits with regular oral cancer screenings, you can take a proactive approach to your health.
Don’t let multiple missing teeth hold you back from living your best life. Contact Fisher & Zitterich Dentistry in Rockwall, TX, today to schedule your consultation. Let us help you explore your multi-tooth replacement options and create a customized plan to restore your smile’s beauty and functionality. Your journey to a healthier, more confident smile starts here!


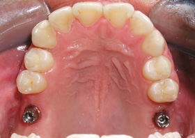
Pablo lost his back molars to gum disease. After repairing the damage to his bone, we placed dental implants to permanently support new molars and let Pablo eat normally again.


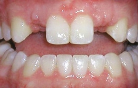
“S” was born missing two of her top front teeth that never developed. After replacing the missing roots with dental implants, porcelain crowns were made and custom-colored in our office to give her a perfect smile.


“T” had lost many of his back teeth over the years, and his front teeth were wearing out dramatically as a result of overuse. Dental implants allowed us to replace his missing back teeth, while all-ceramic crowns gave him the smile he always hoped for.


Marjorie had to have a few of her upper right teeth removed as a result of decay that had severely damaged the roots. She did not want to wear a removable partial denture, so we placed dental implants to support permanent teeth that look great and function naturally.


Pablo lost his back molars to gum disease. After repairing the damage to his bone, we placed dental implants to permanently support new molars and let Pablo eat normally again.


“S” was born missing two of her top front teeth that never developed. After replacing the missing roots with dental implants, porcelain crowns were made and custom-colored in our office to give her a perfect smile.


“T” had lost many of his back teeth over the years, and his front teeth were wearing out dramatically as a result of overuse. Dental implants allowed us to replace his missing back teeth, while all-ceramic crowns gave him the smile he always hoped for.


Marjorie had to have a few of her upper right teeth removed as a result of decay that had severely damaged the roots. She did not want to wear a removable partial denture, so we placed dental implants to support permanent teeth that look great and function naturally.


Pablo lost his back molars to gum disease. After repairing the damage to his bone, we placed dental implants to permanently support new molars and let Pablo eat normally again.


“S” was born missing two of her top front teeth that never developed. After replacing the missing roots with dental implants, porcelain crowns were made and custom-colored in our office to give her a perfect smile.
Call (972) 771-4000 or request an appointment online to set up your first visit. Our team is excited to welcome you!